Bruxismo e Apertamento: Como Proteger sua Reabilitação e sua Qualidade de Vida
"O bruxismo não é apenas um hábito noturno; é um sinal de alerta do corpo que exige um olhar clínico atento para preservar a integridade do sorriso e o equilíbrio da face."
Muitos pacientes chegam ao consultório buscando transformar a estética do sorriso com lentes de porcelana ou facetas, sem perceber que um inimigo silencioso pode comprometer todo o investimento: o bruxismo. Caracterizado pelo ato de ranger ou apertar os dentes, essa condição atinge cerca de 30% da população mundial e pode levar a danos irreversíveis se não for devidamente diagnosticada e gerida.
Com a Dra. Camila Soares, o bruxismo não é tratado apenas como um problema dental, mas como uma condição que envolve a musculatura da face, a articulação temporomandibular (ATM) e o sistema nervoso.
O que é o Bruxismo: Noturno vs. Vigília
É fundamental diferenciar as duas formas de manifestação da condição, pois os gatilhos e tratamentos podem variar:
- Bruxismo do Sono: Ocorre de forma inconsciente durante o descanso. O ranger de dentes gera um desgaste abrasivo nas superfícies oclusais.
- Bruxismo de Vigília (Apertamento): Ocorre enquanto o paciente está acordado, geralmente em momentos de concentração ou estresse. Aqui, o hábito mais comum é o apertamento constante, que sobrecarrega os músculos mastigatórios.
Os Sinais de Alerta: Quando o Corpo Fala
Muitas vezes, o paciente não sabe que tem bruxismo até que os sintomas se tornem crônicos. Fique atento a:
- Dores de cabeça matinais, especialmente nas têmporas.
- Zumbido no ouvido ou dor na região da ATM (próximo ao ouvido).
- Dentes com bordas serrilhadas, trincas ou desgastes evidentes.
- Cansaço na mandíbula ao acordar ou ao mastigar alimentos mais resistentes.
Ilustração: O atrito constante durante o sono
As Causas: Por que apertamos os dentes?
O bruxismo é multifatorial. Entre os principais causadores estão:
- Fatores Psicológicos: Estresse, ansiedade e alta carga de trabalho.
- Distúrbios do Sono: Apneia do sono e ronco estão frequentemente associados.
- Desalinhamento Dental: Uma mordida incorreta (má oclusão) pode forçar a musculatura a buscar uma posição de "descanso" que nunca encontra.
Riscos para a Odontologia Estética
Para pacientes que possuem ou desejam colocar Lentes de Contato Dental, o controle do bruxismo é obrigatório. A força exercida durante um episódio de bruxismo pode ser até dez vezes maior do que a força da mastigação normal. Sem a proteção adequada, as cerâmicas podem sofrer fraturas ou desprendimentos.
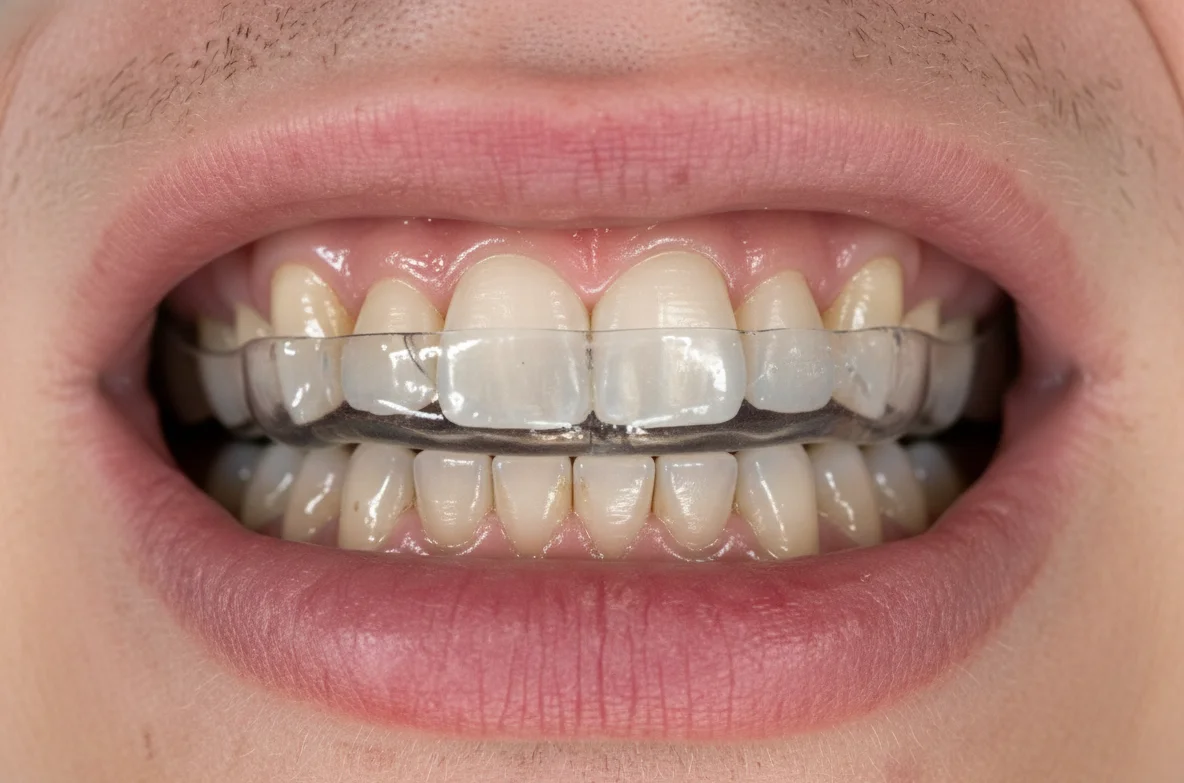
Ilustração: Como a placa miorrelaxante atua como uma barreira de proteção para os dentes.
Soluções Modernas com a Dra. Camila Soares
Hoje, o tratamento do bruxismo é focado no controle e na proteção dos dentes e articulações:
1. Placas Miorrelaxantes de Alta Precisão
Esqueça as placas de silicone macias (que podem até estimular o hábito de morder). Utilizamos placas rígidas, confeccionadas a partir de escaneamento digital 3D ou moldagem convencional. Elas são ajustadas milimetricamente para desprogramar a musculatura e proteger os dentes contra o desgaste.
2. Ajuste Oclusal e Reabilitação
Se a causa do bruxismo estiver ligada a uma mordida errada, podemos realizar ajustes oclusais ou tratamentos ortodônticos para equilibrar as forças mastigatórias.
3. Higiene do Sono e Manejo do Estresse
Orientamos o paciente sobre mudanças de hábito que podem reduzir a intensidade do bruxismo, como a redução de cafeína e o uso de técnicas de relaxamento antes de dormir.
Ilustração: Durma tranquilo e sem dores.
Conclusão: Preservar é o Melhor Caminho
O bruxismo não deve ser motivo para você desistir do sorriso dos seus sonhos. Pelo contrário: ao tratar a condição, garantimos que qualquer procedimento estético realizado terá uma longevidade muito superior.
O foco da Dra. Camila Soares é garantir que você tenha um sorriso belo, mas que ele funcione em perfeita harmonia com sua saúde muscular e articular.
Pronto para transformar
o seu sorriso?
Agende uma avaliação inicial para um planejamento exclusivo, focado na naturalidade e saúde do seu caso.
Agendar Consulta no WhatsAppConsultório MikamiRua Tiquatira, 563 • Bosque da Saúde - São Paulo - SP
